San Jose, CA

Porcelain Veneers
Porcelain laminate veneers consist of a thin layer of porcelain which replace original tooth enamel, and an adhesive layer. To apply a veneer, a very small amount of the original tooth enamel must be removed, usually less than a millimeter. This is essential as it creates room for the porcelain veneer to fit within the mouth and most accurately restore natural tooth function while creating an even better appearance than the original tooth. Veneers in San Jose are a popular choice for individuals seeking to enhance their smiles.
Porcelain veneers are a very successful option in many situations where the original tooth has developed poor color, shape, and contours. It is also a good choice for fractured teeth, gaps between teeth, and in some situations where the tooth position is compromised and there are minor bite-related problems. For some people, superficial stains do not respond well to tooth whitening or bleaching. In these situations, a porcelain veneer may be the best option.

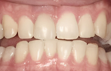
Before

After

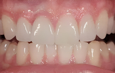
Before

After

Before

After

Minimal Prep or “No-Prep” Veneers
Some patients are looking for an alternative to traditional dental veneers or tooth bonding, but be aware that this treatment option is not appropriate for everyone.
Just as with porcelain veneers, “no-prep” or minimal preparation veneers— so called because they typically don’t require the dentist to remove as much tooth material—are bonded to the front surface of your teeth. Often, the placement of no-prep veneers can be done more quickly and with less discomfort than traditional veneers.
Your Smile Architect will let you know if you are a good candidate for minimal preparation or “no-prep” veneers and if this option makes a sensible treatment plan.

Before

After

Before

After

Before

After

Before

After
Contact us today to schedule a consultation at Arbor Dental Group with our Smile Architects and discover the best veneer treatment plans for your unique needs.



