San Jose, CA

Before

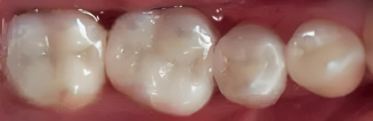
After
Do You Need Dental Inlays or Onlays in San Jose, CA?
Are you experiencing mild to moderate decay or have old, large fillings that need attention? Dental inlays and onlays could be the perfect solution for restoring your teeth. These custom-made dental restorations are crafted from durable materials like zirconia or porcelain, offering both strength and aesthetics.
Dental inlays and onlays are ideal for repairing rear teeth that don't require full crowns but still need substantial support. They are designed to fit precisely within the contours of your tooth, providing long-lasting protection against further damage. In fact, they can strengthen your tooth by up to 75 percent, ensuring durability and functionality.
At Arbor Dental Group, our dental team specializes in delivering top-notch dental care, including advanced treatments like dental inlays and onlays. If you're seeking a reliable solution to restore your teeth, look no further than us.
Signs You Might Need Dental Inlays or Onlays
Dental inlays and onlays are strong tooth-colored restorations used to repair various concerns in your back teeth. Here are some common reasons you might need them:
Moderate Tooth Decay: When decay extends beyond the reach of a simple filling, an inlay or onlay can provide more substantial coverage and prevent further damage.
Large, Worn-Down Fillings: Old amalgam fillings can deteriorate over time, requiring replacement. Inlays and onlays offer a stronger, more durable solution.
Cracked or Fractured Teeth: Minor cracks or fractures in your back teeth can be effectively repaired with inlays or onlays, preserving the natural tooth structure.
Why Choose Dental Inlays and Onlays?
There are several advantages to choosing dental inlays and onlays over traditional fillings or crowns:
Enhanced Strength and Durability: Made from high-quality zirconia and porcelain, inlays and onlays are significantly stronger than fillings and can last for many years with proper care.
Preservation of Natural Tooth Structure: Unlike crowns, inlays and onlays require minimal removal of healthy tooth enamel, maximizing the lifespan of your natural teeth.
Natural Appearance: The tooth-colored material blends seamlessly with your surrounding teeth, ensuring a beautiful, natural-looking smile.
Arbor Dental Group: Your Trusted Partner for Dental Inlays and Onlays in San Jose
Our team of San Jose dentists utilizes advanced technology and techniques to provide exceptional inlay and onlay procedures. We prioritize patient comfort and personalized care, ensuring a smooth and positive experience.
Here's what you can expect from us:
- Comprehensive Consultation: Our dentists will thoroughly examine your teeth and discuss your concerns to determine if inlays or onlays are the best solution for you.
- Custom-Made Restorations: We collaborate with a trusted dental lab to create inlays or onlays tailored specifically to your unique needs and tooth size.
- Pain-Free Procedures: We offer various anesthesia options to ensure your comfort throughout the inlay or onlay placement process.
- Exceptional Results: Our team takes pride in delivering long-lasting, beautiful restorations that restore functionality and enhance your smile.



