San Jose, CA

Before

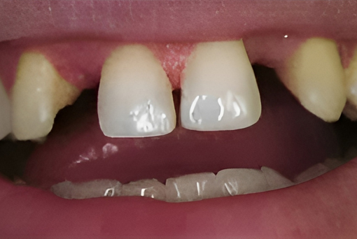
After
Revive Your Smile With Dental Crowns and Bridges in San Jose, CA
Are you considering dental crowns or bridges in San Jose, CA? These treatments offer valuable solutions for various dental issues. Dental crowns, including porcelain and zirconia crowns, are ideal for damaged teeth, providing both structural support and aesthetic appeal. Crowns fit seamlessly and protect weakened teeth from further damage.
For those with missing teeth, dental bridges can be transformative. Bridges help restore your smile by filling gaps and preventing adjacent teeth from shifting. The process involves anchoring the bridge to adjacent teeth, similar to preparing them for crowns, with a false tooth filling the space.
Do You Need Dental Crowns or Bridges?
Signs You Might Need a Dental Crown:
- Cracked or fractured teeth
- Large cavities
- Extensive decay
- Severe wear and tear
- Discolored teeth
Signs You Might Need a Dental Bridge:
- Missing one or more teeth
- Difficulty chewing or speaking
- Shifting teeth
- Jaw pain
- Difficulty maintaining good oral hygiene
Dental Crowns Procedure:
Dental Bridges with Implants:
Dental bridges can also be supported by dental implants, offering a more permanent and stable solution compared to traditional bridges.
Why do You Consider Choose Dental Crowns and Bridges?
- Restore Functionality: Crowns and bridges restore your ability to chew and speak comfortably.
- Improve Appearance: They provide a natural-looking solution for damaged or missing teeth, boosting your confidence.
- Prevent Further Problems: Crowns and bridges prevent teeth from shifting and protect your oral health.
Arbor Dental Group: Your Trusted San Jose Dental Crowns and Bridges Experts
At Arbor Dental Group, our team of dentists offers comprehensive dental care, including dental crowns and bridges, in San Jose, CA. We utilize advanced technology and high-quality materials to create long-lasting, natural-looking restorations. We understand the impact missing or damaged teeth can have on your smile and overall well-being.
Ready to learn more about dental crowns or bridges in San Jose, CA? Contact Arbor Dental Group today to schedule a consultation!

Before

After

Before




