San Jose, CA

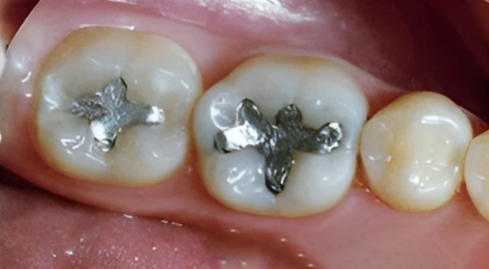
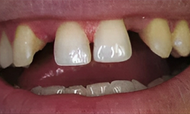
Before

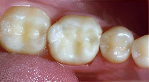
After
Tooth-colored restoration “Bonding”

Inlays and Onlays
Dental inlays and onlays are restorations used to repair rear teeth with mild to moderate decay, old large amalgam fillings, or cracked and fractured teeth that are not sufficiently damaged to need a crown.
Dental inlays and onlays are made of strong porcelain tooth-colored material and are bonded to the tooth. They help to strengthen teeth by up to 75 percent. Inlays and onlays blend well with the natural tooth color and structure, making them one of the best restoration options.

Crowns and Bridges
Dental Crowns

Dental Bridges
One way to take care of a gap caused by a missing tooth is a dental bridge.
Missing teeth not only make talking and chewing more difficult, but they can also cause other problems over time. Teeth adjacent to the space in your mouth can eventually shift into the empty space, which can affect your bite and lead to gum disease or other disorders such as TMJ.
The bridge is anchored by the two teeth adjacent to the space which are prepared like a crown and connected by a false tooth in between to restore your smile.
Are you ready to enhance your smile with cosmetic dentistry in San Jose? Then contact us at Arbor Dental Group today. Your journey to a more confident you start here.

Before

After

Before

After

Before




